| 前 言
每一種罕見病例,會以某種特殊的臨床癥狀或某個項目異常表現出來,追蹤這樣的病例,可以讓我們的臨床思維變得開闊,對于嗜酸性粒細胞異常增高,除了寄生蟲感染、過敏、哮喘、腫瘤,你還想到了什么?
案例經過
患者男,17歲,以全身淋巴結無痛性腫大4年余就診。
患者4年前無明顯誘因出現無痛性淋巴結腫大,最大約鴿蛋大小,無局部發紅、破潰、滲出,無咳嗽、咳痰、發熱、頭痛等前驅感染癥狀,無皮下出血、盜汗,未與重視。曾于外院就診,外院診斷淋巴結炎,未與治療,20天前因淋巴結進一步增大來我院門診就診,行右頸部淋巴結穿刺活檢,未見明確惡性證據,門診擬“淋巴結增大(查因)”入院。
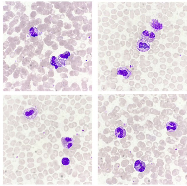
入院檢查雙耳前、耳后、頸前、頸后、腹股溝皆可扣及淋巴結腫大,質軟,界清,易推動,部分融合。當遇到這樣一份血液細胞形態(骨髓+外周血)送檢單時,筆者首先想到的是—淋巴瘤。在鏡檢時,淋巴細胞易見,未見典型的淋巴瘤細胞,取而代之的是較多的嗜酸性粒細胞,見圖1~2:


血液細胞形態(骨髓+外周血)結果見圖3:
血片意見:白細胞不少,嗜酸性粒細胞增高,異型淋巴細胞4.0%,成熟紅細胞大小不一,可見小紅、大紅紅細胞,血小板同骨髓。
骨髓細胞學意見:骨髓增生活躍,嗜酸性粒細胞增高,可見分類不明細胞,請結合臨床,骨髓細胞學檢查初步排除淋巴瘤骨髓浸潤及血液病可能?;颊叩氖人嵝粤<毎吲c全身淋巴結腫大有必然的聯系么?當患者出院后,查閱了患者的相關實驗檢查,見圖4:
IGE:5919 IU/mL↑,血常規嗜酸性粒細胞:30.7%↑,骨髓活檢嗜酸性粒細胞易見,結合實驗檢查結果及患者臨床癥狀,出院診斷:木村病.
案例分析
木村病,也被稱為Kimura病,是一種非常少見的、病因不明且進展緩慢的良性疾變。常發生與面頸部,臨床表現為皮下多發慢性無痛腫塊,同時伴外周血嗜酸性粒細胞及免疫球蛋白E(IgE)升高。最早由我國學者金顯宅于1937年以“嗜酸性粒細胞增生性淋巴肉芽腫”進行報道,1948年,日本學者木村詳細闡述了該病,并將其命名為不同尋常性淋巴組織增生性肉芽腫,這種疾病后來稱為木村病[1]。
木村病多見于亞洲男性,男女比例4:1,在小于20歲的患者中,男女比例更是接近17:1。該病較少見,臨床表現缺乏特異性,容易造成漏診及誤診。
該病與IgE介導的Ⅰ型變態反應有關,患者主要表現為頭頸部皮膚或皮下的緩慢增長的結節,以腮腺區最為多見,頜下腺區、耳前、眼眶、腋窩、腹股溝也可見,伴隨外周血嗜酸性粒細胞及IgE水平的升高,局部病變大小與嗜酸性粒細胞密切相關。
木村病患者的血液細胞形態(骨髓+外周血)的相關資料較少,文獻報道 一例木村病骨髓象[2]。其骨髓象嗜酸性粒細胞與淋巴細胞增高,分別為:11.5%、35.5%,本案例骨髓象嗜酸性粒細胞與淋巴細胞分別為19.0%、31.0%,骨髓中的嗜酸性粒細胞以嗜酸性分葉核為主,占比16.0%,部分嗜酸性粒細胞胞漿內顆粒增多增粗,形態與外周血大致相同。其骨髓象改變與病理檢查相一致,均提示嗜酸性粒細胞升高,本案例骨髓象與文獻報道相一致。
木村病的診斷主要靠病理學檢查,檢驗科相關的實驗室檢查可起到一定的提示作用,如外周血嗜酸性粒細胞、IgE水平升高。結合患者的臨床癥狀及其他實驗室檢查如B超,可考慮木村病可能。其特征性3大表現為頭頸部無痛性皮下結節、外周血嗜酸性粒細胞增多和血清IgE升高。
心得體會
嗜酸性粒細胞增多常見于過敏性疾病及寄生蟲感染,為T淋巴細胞介導的嗜酸性粒細胞反應性增多,亦常見于某些惡性腫瘤、骨髓增生性疾病。
在自己所在的醫院,挖了十年嗜酸性粒細胞的升高,挖到了寄生蟲感染,挖到了惡性腫瘤,挖到了過敏。但是對于木村病,沒挖到,腦中一片空白。進修期間,每挖出一例少見病,回顧疾病的診療路徑,檢驗項目在這個疾病的診斷發揮了什么樣的價值,當再次偶遇它時,從檢驗項目的蛛絲馬跡中給臨床醫生提供最有價值的信息,進修的意義與價值正在于此。
2023-9-6 |